조회 5,438
구포성심병원 2022-09-20 13:43

샌들과 슬리퍼를 자주 신는 여름철이 오면 못생긴 발로 고민하는 이들이 많아진다.
발가락이 굽거나 비틀어지거나 굳은살이 심하면 다른 사람 앞에서 발을 드러내기가 꺼려진다.
엄지발가락(무지)이 두 번째 발가락 쪽으로 휘는 무지외반증은 신발 때문에 생기는 대표적인 발 변형 질환이다.
환자에 따라 정상적인 보행이 어렵고, 증상이 심하면 신발을 신을 수 없는 상태가 된다.
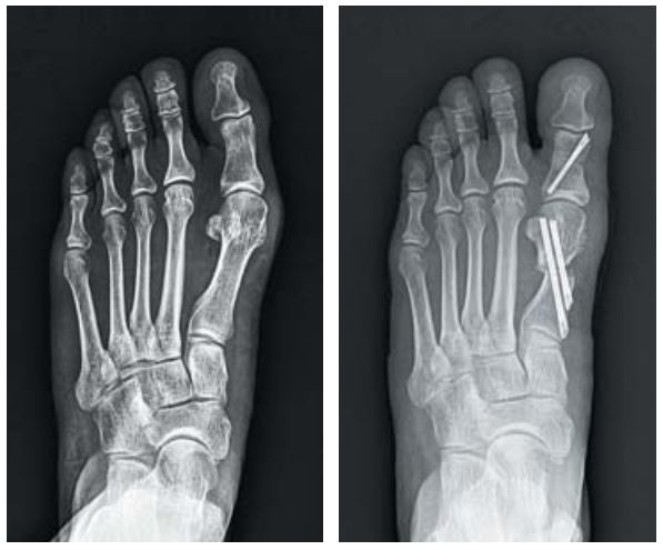
작은 사진은 무지외반증 수술전(왼쪽)과 후 엑스레이 영상자료. 구포성심병원 제공
■무지외반증이란
무지외반증은 다른 말로 족무지외반, 버선발이라고도 한다.
엄지발가락이 나머지 발가락 쪽으로 휘면서 엄지발가락 관절이 튀어나오는 족부 질환이다.
발의 변형으로 인해 신발과 마찰을 일으켜 통증이 심해진다.
무지외반증은 여성 환자 비율이 약 80%로, 남성보다 4배 가량 발병률이 높은 질환이다. 주로 30대 이후의 여성들에게서 많이 나타난다.
발 모양에 영향을 많이 주는 직업군에서 잘 생긴다.
특히 발 볼이 좁고 굽이 높은 하이힐은 무게중심이 앞으로 쏠리면서 엄지발가락에 압력이 집중되기 때문에 무지외반증에는 치명적이다.
매년 6만 명 정도의 환자가 발생하는 것으로 추정된다.
최근 남성에서도 패션에 대한 관심이 커지면서 편한 신발보다 볼이 좁고 딱딱한 구두를 착용하거나, 키 높이 깔창을 사용하면서 무지외반증 빈도가 늘고 있다.
엄지발가락의 틀어진 각도가 15도 이상이면 무지외반증으로 진단한다.
무지외반증이 있으면 걸을 때 엄지발가락이 둘째 발가락을 밀어서 다른 발가락까지 변형을 유발한다.
엄지발가락만 아픈 경우에는 신발을 신지 않으면 통증이 사라지지만 둘째 발가락이 아프기 시작하면 신발을 신지 않아도 통증이 있다.
■최소침습 교정 절골술 MICA 도입
무지외반증 초기에는 돌출 부위에 자극을 줄이기 위해 편한 신발을 신거나 교정 안창을 착용하면서 보존적 치료를 먼저 시도한다.
수술을 할지 여부는 엄지발가락의 형태와 증상을 종합적으로 파악한 후 판단한다.
구포성심병원 정동우 족부센터장은 “가장 중요한 것은 환자 본인이 주관적으로 느끼는 불편함의 정도이며 아무리 변형이 심하다고 해도
그것만으로 수술을 결정하지 않는다”며 “일반적으로 수술이 필요한 경우는 엄지발가락이 튀어나온 부위가 계속 아프거나,
엄지발가락의 변형으로 2, 3번째 발가락이 휘거나 올라타는 경우, 발바닥에 굳은살이 반복적으로 생겨 불편한 경우다”고 말했다.
기존의 무지외반증 교정술은 휜 뼈를 교정하기 위해 피부를 5~7cm 정도 절개하고 뼈를 둘러싸고 있는 골막을 일부 벗겨낸 뒤 뼈를 절골해 금속핀으로 고정하는 방식이었다. 수술 후에 통증이 심해 양쪽을 동시에 수술하기가 어렵다.
회복 기간도 상당히 소요되기 때문에 무지외반증 환자들이 수술을 망설이게 된다.
최소침습 교정 절골술(MICA)은 골막을 건드리지 않고 엑스레이를 보며 뼈를 깎는 고난도의 수술법이다.
최소침습 절골술을 시행하는 병원은 아직 많지 않은데 고난도 수술인만큼 환자 만족도는 매우 높다.
부산, 경남에서 최초로 MICA를 도입한 정동우 센터장은 “기존에 5~7cm정도 절개하는 수술에 비해 0.5cm 정도의 작은 절개로만 진행되는 교정법으로
수술시간이 짧고, 주변 조직 손상이 적어 통증 역시 작다. 안전하고 효과적이어서 향후 무지외반증 수술에 대한 해답이 될 수 있다”고 설명했다.
■무지외반증의 예방법은
최소침습 교정 절골술은 수술 후 회복기간도 짧아 빠르게 일상에 복귀할 수 있다.
또 골막을 벗기기 위한 절개가 없기 때문에 수술 후 흉터를 최소화시킬 수 있다.
수술 부위 감염과 괴사, 신경손상에 따른 저림 증상, 불유합 등의 합병증의 빈도가 기존 수술법에 비해 훨씬 적은 수술이다.
수술 후 3일 정도 지나면 퇴원이 가능하며, 상처 회복에는 2주 가량 필요하다.
6주 뒤엔 일반적인 운동화를 신을 수 있고, 3개월부터는 특별한 제한 없이 운동할 수 있다.
절개로 인한 통증과 환자들의 심리적 부담을 생각한다면 최소침습 방식으로 수술하는 것이 무지외반증 수술의 트렌드가 될 것으로 보인다.
의사의 숙련도에 따라 수술 결과가 달라진다. 엑스레이에 찍힌 단면을 보면서 수술 부위의 미세한 각도 조절이 쉽지 않기 때문이다.
집도의가 충분한 수술경험과 전문성을 갖췄는지도 잘 확인해야 한다.
무지외반증의 증상 완화와 예방을 위해선 신발이 가장 중요하다. 변형을 악화시키는 신발을 피하고 편한 신발을 착용하는 것이 좋다.
5cm 이상의 굽이 높거나 앞 볼이 좁은 신발은 무조건 피해야 한다.
부득이 구두를 신어야 한다면 신발을 자주 벗어서 발을 쉬게 해주고 스트레칭으로 발의 피로를 풀어 주는 것이 좋다.
‘못난 발’ 무지외반증 치료 ‘MICA’ 급부상 - 부산일보 (busan.com)